Уретероцеле

29 октября 2019 г. 5.3K
Уретероцеле

Уретероцеле — это кистозное расширение дистального конца мочеточника в интраве-зикальном сегменте

Несмотря на то, что уретероцеле может развиться в одинарных системах (ортотопи-ческое уретероцеле), чаще всего оно выявляется при удвоении мочеточников (эктопическое уретероцеле) и развивается из мочеточника, дренирующего верхний сегмент

В настоящее время существует три теории развития уретероцеле:

• обструкция устья мочеточника;

• неправильное мышечное строение дистального отдела мочеточника;

• чрезмерная дилатация дистального мочеточника в ходе развития.

Уретероцеле в одинарных системах развивается преимущественно у мальчиков и редко наблюдается у девочек. Наоборот, эктопические уретероцеле, те, что выявляются при удвоении систем, чаще определяются у девочек.

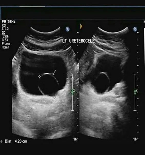
В настоящее время уретероцеле чаще всего диагностируют при ультразвуковом исследовании почек. При ультрасонографии плода устанавливают диагноз гидронефроза. Он может быть обусловлен наличием уретероцеле, которое выявляют в ходе обследования в послеродовом периоде.

Уретероцеле можно также увидеть при физикальном обследовании. Эктопическое уретероцеле может пролабировать через мочеиспускательный канал и представлять собой объемное образование, расположенное между половыми губами. Оно также может выходить из мочеиспускательного канала и появляться между половыми губами в виде кистозного объемного образования. До внедрения ультразвукового исследования инфекции мочевыводящих путей были наиболее часто встречающимся первичным проявлением заболевания. У многих детей до сих пор заболевание начинается с появления этих симптомов.

1. Ультрасонография является лучшим первичным этапом диагностики уретероцеле Ультразвуковое исследование назначают в качестве контрольного обследования для оценки внутриутробного развития плода или при диагностике инфекции мочевыводящих путей Эта методика позволяет визуализировать верхние мочевыво-дящие пути и выявить гидронефроз Она также позволяет обнаружить кистозное объемное образование в нижней части дистального отдела мочеточника и в проекции мочевого пузыря

2. Подозрение на наличие уретероцеле при ультразвуковом исследовании может быть подтверждено при проведении микционной цистоуретерографии

3. Необходимо также провести сканирование почек для определения функции верхних мочевых путей

Несмотря на то, что существует риск развития пузырно-мочеточникового рефлюкса, первичным этапом лечения является простое эндоскопическое рассечение уретероцеле. Если развивается рефлюкс и почка нуждается в сохранении, можно выполнить реимплантацию мочеточника.

1. Эндоскопическое рассечение уретероцеле.

2. Резекция верхнего полюса почки и, возможно, уретерэктомия.

3. Пиело-пиелостомия в верхнем полюсе при функционирующих почках.

4. Резекция верхнего полюса почки с тотальной уретерэктомией и восстановлением целостности мочевого пузыря.

Верхний полюс при эктопическом уретероцеле обычно функционирует плохо или вообще не функционирует. Во многих случаях сегмент может иметь неправильное развитие. Однако в некоторых случаях в нем имеется функционирующая ткань, которую следует сохранить.

Рефлюкс может развиться в 50 % мочеточников, в которых имеется уретероцеле. Он может быть обусловлен слабостью мышечного слоя и растяжением мочевого пузыря эктопическим мочеточником. Рефлюкс также может наблюдаться в контрлатеральном мочеточнике, возможно, вследствие растяжения треугольника.

Незначительный рефлюкс на стороне поражения и в контрлатеральном мочеточнике может спонтанно прекратиться. Однако рефлюкс более высокой степени обычно не прекращается и требует хирургической реимплантации.

**Уретероцеле может быть двухсторонними.**Билатеральные уретероцеле могут наблюдаться в 10 % от всех случаев эктопических уретероцеле.

Цекоуретероцеле — это уретероцеле, которое распространяется субуретрально в проксимальный или даже дистальный отдел мочеиспускательного канала.

Читайте также на сайте

Комментарии (0)

Пока нет комментариев. Будьте первым!

Войдите, чтобы оставить комментарий